以“生态水系”构建“生态绿脉”
在工厂废水污水“变废为宝”构建“生态水系”的探索中,云南中烟红塔集团玉溪卷烟厂依托中水站技改项目,创新优化废水生物处理生态圈,以独特的细菌培养技术,实现了污水“零”排放,成为发展新质生产力的生动实践。
玉溪,因水而得名,取清流如玉之意。当下的玉溪,正厚植生态绿脉,人与自然和谐共生的图景愈发动人……
在这里,有一座现代化卷烟工厂以“绿”提“质”,正在悄然改变着传统工业的面貌。在工厂废水污水“变废为宝”构建“生态水系”的探索中,云南中烟红塔集团玉溪卷烟厂(以下简称玉溪卷烟厂)依托中水站技改项目,创新优化废水生物处理生态圈,以独特的细菌培养技术,实现了污水“零”排放,成为发展新质生产力的生动实践。
中水站的“魔术师”
走进玉溪卷烟厂中水站,一股清新的气息扑面而来。在这里,原本污浊的废水经过一系列复杂的处理工艺后,变得清澈透明,完全符合城市绿化用水标准。而这一切的“魔术师”,正是中水站内的细菌培养技术。
据中水站负责人介绍,玉溪卷烟厂中水站的细菌培养技术是将活性污泥培育法运用到生产污水处理当中,这些活性污泥就是降解菌群,他们像一群爱吃东西的“小精灵”,把污水中的污染物通通吃掉,来达到净化水质的效果。
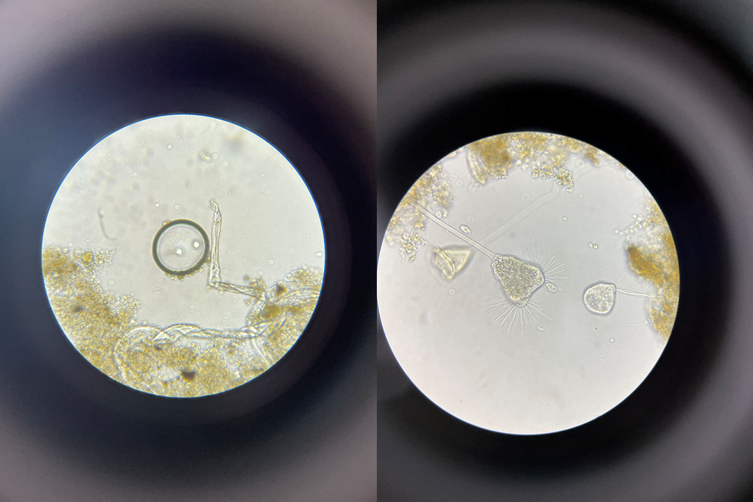
但与生活污水不同的是,烟草废水中含有烟碱,且缺乏营养物质,活性污泥里的微生物菌群较难培养。为此,工厂创新引入了污水分析生物镜检技术,利用高倍显微镜观察污水中的原生微生物、后生微生物的种类、数量、活跃度等情况。
中水站水质分析室目前已经总结出了烟草废水中常见的40多种原后生生物及其指示作用,再结合每日的曝气量、水量、加药量、排泥量等关键参数,运用对应的水处理公式计算后,就可以系统操控这些“小精灵”,来达到预测污水未来的理化指标变化,提前采取措施进行人工控制的目的。通过微生物镜检可以提前一周发现反应器菌群异常,从而采取行动。

图为:微生物镜检图像
“小精灵”的驯化师
人才是第一资源,是培育和发展新质生产力最活跃、最具决定意义的能动主体。玉溪卷烟厂中水站项目自投入运行以来,已稳定运行近三年时间,背后是动力车间人员对中水技术日复一日、年复一年精研攻坚的结果。他们是这些“小精灵”的驯化师。
中水站采用生物法处理污水,效果好、费用低、节能环保,但也有控制变量多、调节反馈周期长、系统异常难以恢复的特点。同时,与市政污水不同,工业污水量在节假日停产时会大幅减少,导致生物处理模块中的细菌无法正常进行生化作用,从而大量死亡,而企业开始进行生产后,工业污水突增又会对细菌造成冲击,最终影响中水水质。在整个行业内,这都属于难题之一。
为了攻克难关,玉溪卷烟厂动力车间竭力探求解决方法,主动查阅相关文献与书籍,研习行业先进技术,先后在中水站实践运用了污泥镜检、水力负荷计算、污泥龄控制、药物精准配比等技术,取得阶段性成果。另外,动力车间积极探索改造创新,自主完成中水水路污泥回流改造项目,通过污泥再处理,解决了周末污水量不足的问题。
经过一年稳定的运行,细菌产生驯化作用后,菌种耐受能力大幅提升,烟草废水、尼古丁、乳胶水、杀虫剂等物质也可进行简单处理,抗冲击能力大幅提升。现在,通过参数精准控制,中水站可节约用药用电40%以上,大幅减少运行成本;通过污泥回流系统,可减少污泥量50%以上,处理量大幅减少。

图为:水质检测员在观察活性污泥沉降比
动力组负责的中水站项目仅是玉溪卷烟厂绿色工厂建设中的一个单项工程。新的中水站采用了厌氧好氧一体化生物反应的核心工艺,将多种传统废水处理工艺进行了创新性集成,有效地节省了占地、减少了臭气源。改造后,中水站污水处理能力由80 m³/h提高到了120m³/h,出水水质更加稳定,达到城市绿化用水标准。经过第三方检测,中水出水水质关键指标COD稳定在20毫克每升以下,大幅优于国家标准COD低于50毫克每升的要求。

图为:中水站全景图
2023年玉溪卷烟厂中水站累计处理污水约23万吨,随着工厂3个新车间的投用,2024年处理污水将达到35万吨。如今,全厂绿化灌溉全部使用循环水,不仅省下大批绿化费用,也保护了水资源,打造出生态水循环系统,实现工厂废水零排放。当下,新中水站与古窑遗址、中水站景观水景、车库屋顶花园、红塔山工业旅游景区融为一体,成为云南中烟红塔集团积极践行绿色发展理念的一个鲜活注脚。
“绿色发展是高质量发展的底色,新质生产力本身就是绿色生产力。”
玉溪卷烟厂中水站细菌培养技术的新技术、新突破,不仅为企业自身带来了显著的环保效益和经济效益,更为行业提供了人与自然和谐共生的绿色发展范本。而这只是玉溪植生态绿脉系列行动中的一个缩影。玉溪,正在建设绿色、和谐、宜居城市的新征程上绽放华彩。(杨翊涵)
编辑:赵鼎
声明:新华财经为新华社承建的国家金融信息平台。任何情况下,本平台所发布的信息均不构成投资建议。如有问题,请联系客服:400-6123115













